Aesthetic Dental Restorations
Elevate Your Smile: Artistry Meets Precision in Dental Restorations
Understanding Aesthetic Dental Restorations
Aesthetic dental restorations combine functional dentistry with artistry, restoring damaged or decayed teeth while enhancing the overall look of your smile. Using modern materials that closely mimic natural tooth structure, these restorations blend seamlessly with your teeth, offering strength, durability, and beauty.
The Restoration Process
Every treatment begins with a thorough dental examination and digital assessment to determine the most suitable restorative option for your needs. Depending on the extent of damage and aesthetic goals, we may recommend tooth-colored fillings, inlays, onlays, or ceramic crowns.
Tooth Preparation
Any decay or old restorations are carefully removed, and the tooth is shaped precisely to receive the new restoration.
Digital Scanning or Impressions
We use advanced digital tools or impressions to create a highly accurate model of your tooth.
Custom Fabrication
The restoration is fabricated to match the exact shade, translucency, and shape of your natural teeth for a flawless result.
Placement & Finishing
Once ready, the restoration is bonded securely to the tooth, polished, and checked for comfort and bite accuracy.
The result is a strong, long-lasting, and aesthetically superior restoration that blends naturally with your smile.
Ideal Patient Criteria
- Have decayed, chipped, or worn teeth that need structural support and improved appearance.
- Want natural-looking restorations that match their existing teeth.
- Are replacing old metal or discolored fillings with more aesthetic options.
- Maintain good oral hygiene and wish to invest in long-term dental health.
- Desire a balance between function and aesthetics, especially in visible areas of the mouth.
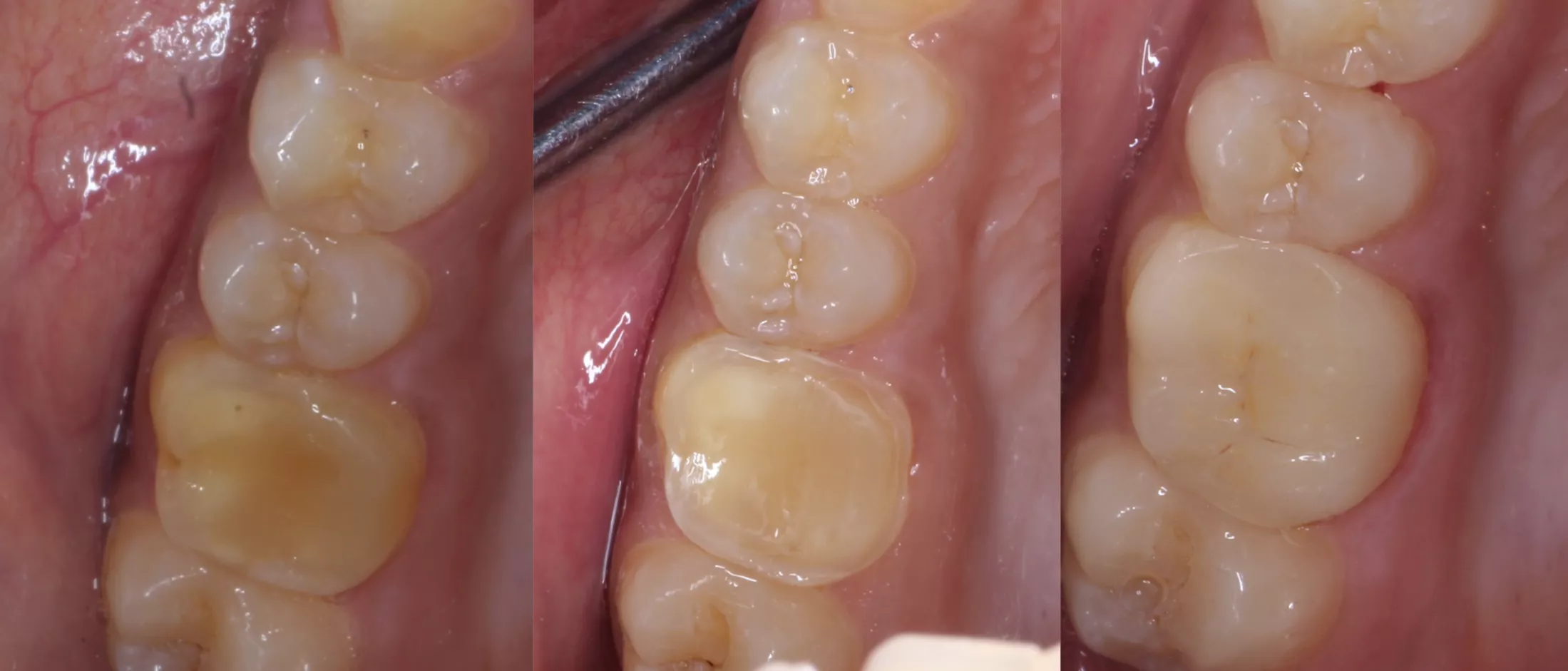
Before and After Treatment
Before
After
Before
After
Before
After
Frequently Asked Questions
How long do aesthetic restorations last?
With proper care, tooth-colored restorations can last 10 years or more, depending on the material used and your oral hygiene habits.
Will the restoration look different from my other teeth?
No. Modern materials are carefully shade-matched to your teeth, resulting in a virtually invisible restoration.
Is the procedure painful?
No. The process is done under local anesthesia, making it comfortable and pain-free.
How do I maintain these restorations?
Maintain good brushing and flossing habits, avoid biting very hard objects, and schedule regular dental check-ups. Professional polishing can help maintain their shine.
Can I replace my old silver fillings with tooth-colored ones?
Yes. Many patients choose to replace metal fillings with composite or ceramic restorations for a more natural and aesthetic smile.
Schedule Your Path to a Harmonious Smile
Unlock the transformative power of restorations that blend seamlessly with your natural teeth. Contact us to book your personalized cosmetic consultation.